Before and After Photos - Actual Patients of Dr. Perkins
 Missing Front Tooth |
 Implant Placement and Restoration |
 Before Implant Overdenture |
 After Implant Overdenture |
 Before Gastric Erosion |
 Full Mouth Rehabilitation |
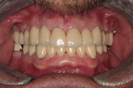
 Before old porcelain bridge with metal margins at gumline |
 After all-ceramic zirconia bridge without grey at the gumline |
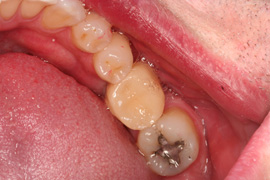
 Before Single Implant |
 After Single Implant |
 Worn Out Denture |
 Implant-Retained Overdenture |
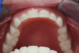
 Before Orthodontics |
 After Orthodontics |
 Before Orthodontics |
 After Orthodontics |
 Before Orthodontics |
 After Orthodontics |
 Acid Erosion and Chipping |
 After Veneers |
 Before Bonded Composite Veneers |
 After Bonded Composite Veneers |
 Discolored Bonding and Old Crown |
 Crown Lengthening & Ceramic Crowns |
 Discolored Bonded Composite Veneers |
 After Bonded Composite Veneers |
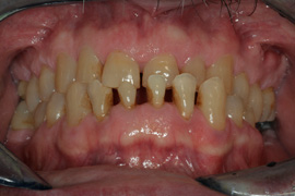
 Before Tooth Wear |
 Full Mouth Rehabilitation |
|
|